Tooth Extraction Victoria, TX
Expert Surgical Care in a Comfortable Environment
- Extractions by a board-certified periodontist
- IV sedation from board-certified MD anesthesiologists
- Advanced imaging for safer, more precise treatment
- Implants may be placed immediately after extraction
The Process of Gentle Extraction
Dr. Heard takes the time to get to know each of his patients on an individual level.
Benefits of Tooth Extraction
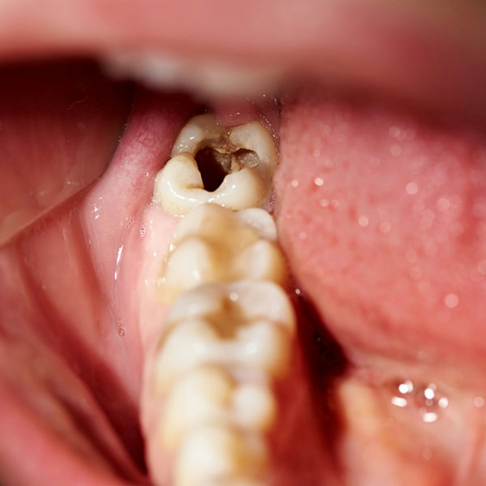
- Protects Your Oral Health: Ignoring a tooth extraction that stems from an infection can amplify pain and result in further oral procedures in the future.
- Relieve Pain: Severely damaged and decaying teeth can cause daily tooth pain. Tooth extractions can give you the freedom to live comfortably and eliminate discomfort.
“Dr. Heard, Lacey and the staff were very kind and patient. The sedation eased my anxiety, I didn't feel a thing throughout the surgery. Recovery was quick with minimal pain. I would definately recommend Dr. Heard and Gulf Coast Periodontics for anyone seeking dental surgery.”
— Lucinda, 5-Star Review
Have You Put off a Tooth Extraction? Schedule an Appointment Today
Ignoring a severe oral problem won't make it go away. If you’re experiencing severe discomfort, don’t wait — call your dentist to find out if an extraction is necessary. We accommodate emergency tooth extraction cases when urgent care is needed.
Or send us a message!
What's the Cost of a Tooth Extraction?
The cost of tooth extraction will vary depending on the severity of the case. Simple extractions averagely cost $75 to $200 per tooth and surgical extractions cost anywhere between $800 and $4,000. Our dentistry office helps you file with your insurance and accepts CareCredit® financing to help patients afford treatment.
Take a Closer Look at Tooth Extraction
Aftercare Tips
Following your aftercare instructions is crucial to avoid complications like dry socket, which can cause significant discomfort.
Manage Pain
If you have a non-surgical, simple extraction, prescription medication is unnecessary. Over-the-counter pain relievers can help manage any pain and discomfort. For surgical extractions, our dentist may prescribe medication to relieve pain.
Reduce Swelling
Swelling can occur after extraction. To minimize swelling, apply a cold compress. You should also avoid chewing on the side of your mouth where the tooth was extracted to lessen the pain and swelling and avoid rupturing the clot.
Protect the Extraction Site
After your dental surgery, avoid strenuous activities for a few days as it can lead to increased bleeding and swelling at the clot. Avoid crunchy, hard foods and drinking through a straw as this can dislodge the blood clot, causing pain and bleeding. Stick to soft foods like yogurt, mashed potatoes, or soup for the first 24 hours to avoid disturbing the clot.
“Personable and skilled” Why Victoria Loves Dr. Heard and His Team
Dr. Heard and his staff are GREAT! From start to finish the staff communicate everything to ensure the patient is informed. Dr. Heard is very thorough, takes his time to talk through procedures, follow up and patient needs. Great Team!!! Thank you.
View on GoogleTheir care and professionalism really put me at ease. Dr. Heard is very personable and skilled…He even personally checked in with me after surgery, which really meant a lot to me. One aspect that makes this office stand out is the presence of a dedicated anesthesia provider…I felt exponentially more safe knowing that a skilled and highly-trained provider was delivering my anesthesia.
View on Google







