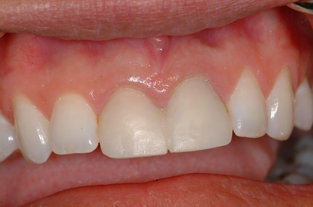
Dental Implants: Upper Front Tooth
Description
This patient lost the tooth on the left due to a fracture that was found when replacing a crown. Both of the central incisors required new crowns. The one on the left is an implant crown and the one on the right is a natural tooth supported crown.




